広島禁煙支援ネットワーク

  

たばこの健康障害

禁煙と癌

タバコの煙に含まれるいくつかの有害物質は、癌抑制遺伝子の変異などを引き起こして癌を誘発することが明らかにされています。その影響は全身に及び、肺癌、喉頭癌など呼吸器系にとどまらず、さまざまな癌の発生に関与しています。


1.意外と知られていない喫煙との相関が強いがん
喫煙関連疾患

使用資料「喫煙関連疾患 Illustated Book」

図中の数字は男性における非喫煙者を1とした場合の、各種癌の死亡率を示します。



2.肺癌が喫煙と深い関係にあることは、膨大なデータの積み重ねにより証明されています
使用資料「喫煙関連疾患 Illustated Book」
 
肺がんのレントゲン写真   肺がんの気管支鏡所見

肺癌の気管支鏡所見
(72才男性 1日20本 50年間)
気管支内腔が狭窄している。表面は不整で出血しやすい。 右下は正常者の内視鏡所見

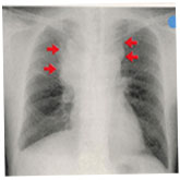
肺癌のレントゲン写真
  (65才男性 1日40本 40年間)
右肺上葉から縦隔にかけて巨大な腫瘍を認める
 


3.たばこの本数が多いほど肺がんで死亡する危険性が高くなります

1日の喫煙本数と肺がん死亡率には明らかな因果関係がみられます。(下表)
    平山 雄:"肺がん"予防からターミナルケアまで"、肺がんの疫学と予防

1日喫煙本数別の肺ガン死亡率


4.その他の癌
使用資料「喫煙関連疾患 Illustated Book」
咽頭癌の内視鏡写真

喉頭がん患者の喫煙率は97%にものぼり、タバコとの関連が最も強い

膀胱癌の内視鏡写真
喉頭癌の内視鏡写真
(58才男性 1日 30本 36年間)
声帯が赤みを帯び、デコボコに盛り上がっている。
左上は正常者。
  膀胱癌の内視鏡写真
(60才男性 1日40本 40年間)
膀胱粘膜にカリフラワー状の腫瘍を認める。


癌の部位別死亡死亡に毎日喫煙の関与がどの程度あるのか調べたのが下図です。  喉頭がん、肺がん、咽頭がん、口腔癌などは特にたばこと関わりが深くまた、全部位のがんの 約1/3は喫煙が関係していたと報告されています。

がんの部位別死亡に及ぼす毎日喫煙の寄与危険度

禁煙すると、年々各部位のがん発症率は減少し、非喫煙者の発症率に近づいていきます。  がん予防には禁煙が最も効果的です。

home