広島禁煙支援ネットワーク

たばこの健康障害

喫煙と呼吸器

たばこの煙の通り道になる呼吸器は、直接有害物質に曝されさまざまな傷害を受けます。
慢性気管支炎・肺気腫の大部分は喫煙が原因であり、呼吸機能が低下します。
また喫煙は肺癌の危険性も著しく高めることが知られています。


1.喫煙者の肺は汚れています 写真提供:香川医科大学放射線部 佐藤功先生

正常な肺(左)の表面は、きれいな肉色です。 喫煙者の肺(右)は非喫煙者の肺と比べると、 タールや炭粉の沈着で表面が汚れています。
1日20本の喫煙で、肺の中にコップ1杯分  のタールが溜まるといわれています。多くの発癌物質を含むタールにまみれた肺に癌が多発するのも当然の結果といえます。

非喫煙者の肺 喫煙者の肺
  非喫煙者の肺 喫煙者の肺

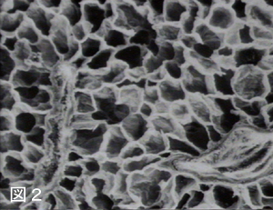
2.喫煙者の肺は空洞だらけになります

肺は肺胞の集まりから出来ており、スポンジ様の臓器です。〈 図 〉たばこの煙の有害物質によってじわじわと肺胞構造が壊されつづけて肺が空洞化してしまいます。

【健康な肺】 【肺気腫(喫煙者)】 肺の構造と肺胞の変化
健康な肺 肺気腫(喫煙者)

このような肺では、肺胞での換気が十分に行えなくなり、慢性的な酸素欠乏状態に陥り、呼吸困難や呼吸不全の原因になります。肺気腫の変化は喫煙者では30代、40代から始まることがわかってきました。他にも喫煙者は慢性気管支炎にもかかりやすくなります。


3.喫煙者では40代から肺気腫が高率に発症します
使用資料 Nikkei Medical 2000年5月「タバコ・ディジーズその放置の大罪」

右表は健診目的でCT検査を受けた1400人の肺気腫の頻度をみたものです。
男性喫煙者では全体の半数以上、40才未満でもすでに4割近くに肺気腫病変が認められ、加齢と喫煙を重ねるとともに増加しています。一方、非喫煙者ではわずか3.1%(5人)にしか病変は認められませんでした。

年代別にみた男性喫煙者の肺気腫の頻度


●肺気腫の診断

*肺気腫、慢性気管支炎は慢性閉塞性肺疾患と呼ばれ、肺機能検査では一秒量の低下を認めます。
非喫煙者に比べ、若いうちから明らかに機能低下が認められます。しかも症状が出る頃には、既に機能低下はかなり進んでいることがわかります。

肺機能検査比較曲線グラフ

*一秒量の低下より前に、肺気腫を早期に発見するにはフロボリューム曲線が有効です。
肺末梢の軽い変化のうちから、山の高さは低下しなくても下降脚が下に凹んだカーブを描きます。
程度が進むと山の高さも低くなり吐く勢いが急激に弱っていくのがわかります。

肺機能検査とフロボリューム曲線

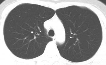
*胸部レントゲンではほとんど変化が見られない段階でもCT検査で肺胞構造が破壊されている所見を認めます。肺ドックではヘリカルCT検査を行い、肺癌を小さなうちに発見するとともに、肺気腫病変の早期発見をめざしています。喫煙指数(1日の喫煙本数×喫煙年数)が600を超える人は是非肺ドックを受けてみて下さい。

(写真は香川県立がん検診センター呼吸器科の症例)
佐藤功先生 提供
正常肺のCT 正常肺のCT
中等度肺気腫のCT 中等度肺気腫のCT
 

58才男性。25本/日×38年、喫煙指数950 直径1cmまでの低吸収域が集合し癒合しており、結果的にのう胞様の隔壁構造も認められる。

タバコを吸い続ける限り肺は破壊され続けます。
「"せき"や "たん"が続く」、「階段や坂道で息切れがする」・・・たばこのせいかな?と思いながらたばこが止められない人。咳や息切れは禁煙サインです。
肺気腫が進行すると日常生活でも酸素ボンベが手放せなくなります。
そうならないためには禁煙しかありません。一日でも早く・・


home