![]() |
たばこの健康障害 |
![]() |
喫煙と口の中の健康 |
直接たばこの煙に曝される口腔内には、高率に喫煙関連疾患が生じます。 |
| (使用写真1.2.3は川村歯科・口腔外科による) |
| 1.喫煙者は歯茎に色素が沈着します | |
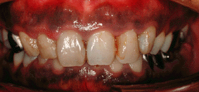
歯肉のメラニン色素沈着 スモーカーズ・メラノーシス 歯肉縁より5ミリほど根先の方に、暗赤色の帯状の着色が目立つ人が多くなって来ました。 メラニン色素沈着とされ喫煙に深い影響を受けており、喫煙者本人は当然ながら副流煙の影響も大きく、家族に喫煙者のいる家庭の子女・学童に、高率にメラニン色素の沈着が見られると報告されています。 |
![]() |
| 写真1 30代女性 喫煙歴18年 | |
| 2.喫煙者は口臭が強くなります |
たばこの匂いは最後の喫煙後時間が経過しても長く残ります。喫煙で歯肉炎や歯周病がひどくなった状態では匂いはより顕著になります。 |
| 3.喫煙者は口腔の病気が著しく多くなります | |
1.口腔癌 : 喫煙と関連の深い癌は喉頭癌、肺癌、咽頭癌、口腔癌、食道癌とされ、たばこの煙に曝されている部位であることがわかります。口腔癌の発生部位は 1位 舌 54%、2位 歯肉 16%、3位 口腔底 12% 4位 頬粘膜 10%、5位 硬口蓋 6%、6位 口唇 2% | |
2.白板症 舌、頬粘膜、歯肉にできる白斑。 非喫煙者の6倍。17%が口腔癌になるとされます。 |
![]() |
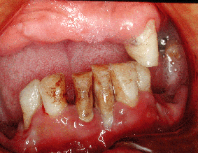
3.歯周病 歯周組織への影響 ・歯やその周囲に汚れがたまりやすくなる たばこの煙の中のタールは、俗に言うヤニとして歯の表面にこびりつきます。この部分には歯垢(プラーク)も沈着しやすくなり歯周病の発症や進行を助けます。 ・細菌に対する組織の抵抗力をが低下する ニコチンが歯肉や口腔粘膜からも吸収され、その付近の白血球などの免疫担当細胞の働きを鈍らせるため、細菌が体内に簡単に侵入して毒素などによる周りの組織の破壊を始めます.。そのため歯周病が発症したり、悪化し易くなります。 ・傷や治療を受けたところの治癒が悪くなる ニコチンにより、傷口をふさぐ細胞の動きが鈍くなりせっかく歯の治療を受けても良い結果が得られません。 | |
| ↓ | |
| たばこで歯が悪くなり、虫歯や入れ歯が多くなる | |
![]() |
![]() |
| 写真2 60代男性 喫煙歴40年 | 写真3 60代男性 喫煙歴30年 |
|
![]() |